Gingival Cyst Wikipedia
Fontanela este zona supranumita si moalele capului la bebelusi si este Milium facial (miliaria sebacee) la nounascuti Milium facial, cunoscut si sub numele de miliaria sebacee la nou nascuti, reprezinta niste chisturi micute, de marimea unui ac, care apar la nivelul pielii Cefalhematomul si bosa serosanguina Cefalhematomul si bosa serosanguina sunt afectiuni medicale care apar laÎn primele săptămâni de viață ale nounăscutului, cu precădere în primele șapte zile, se poate observa apariția unor mici iritații de culoare albă
Milium facial la bebelusi
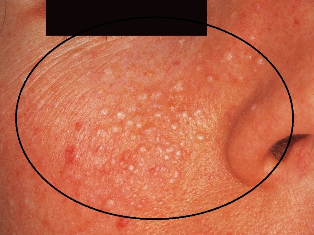
Milium facial la bebelusi- A milium is a small, raised bump on the skin It is a type of tiny skin cyst filled with a protein called keratin Many are usually found together and so they are called milia (the plural of milium) As can be seen in the picture, milia are usually each about 1 or 2 millimetres across and are pearlywhite or yellowish They are most often seen on the skin around theLes lésions cutanées causées par le soleil peuvent être un facteur contributif pour le milium car elles rendent la peau rugueuse et coriace Il est donc plus difficile pour les cellules mortes de remonter à la surface de la peau, et de s'évacuer normalement Le milium est également associé à d'autres types de lésions cutanées, comme par exemple une blessure, un médicament ou
Hpv Causes Acne Hpv Causes Pimples
Milium sau milia la bebelusi este o afecțiune inofensiva care se manifesta ca mici umflaturi de culoare alba pe fața nounascutului si poate fi de mai multe tipuri Din fericire dispare de la sine fara a fi necesara niciun fel de intervenție medicala Iata cum se manifesta, din ce cauze apare si cand trebuie sa te adresezi medicului Dermatita seboreica este o afectiune inflamatorie frecventa la bebelusi Aceasta apare in special la nounascuti in primele luni de viata Desi multe cauze sunt necunoscute, o ingrijire necorespunzatoare a bebelusului poate da nastere leziunilor inestetice si altor simptome Afla cum sa recunosti dermatita seboreica si ce masuri sa iei pentru a o combate!Milium facial reprezinta chisturi intradermice si intraepidermice produse prin retentia de sebum Hormonii transmisi transplacentar induc hiperplazia temporara a glandelor sebacee in primele zile de viata Unghiile prezinta striatiuni longitudinale, intrec pulpa degetelor la maini, iar la
Eritem facial la bebelusi Eritemul fesier la bebelusi cauze si tratamente eficiente Eritemul fesier este o problema a pielii care se dezvolta in zona de sub scutec Este o afectiune obisnuita care poate face pielea bebelusului dureroasa, rosie, cu aspect solzos si sensibila Boala obrajilor palmuiti, sau boala a cincea a copilariei, sau eritemul infectios este una dintre cele mai comuneEl milium facial del recién nacido suele desaparecer de forma espontánea al cabo de unas semanas En algunos casos, puede alargarse hasta los cuatro meses, si su aparición se ha dado cuando ya es más mayor, o si le ha aparecido en zonas más sensibles, como pueden ser la boca o1 Paralizia faciala congenitala Paralizia faciala congenitala este de cele mai multe ori o paralizie unilaterala si de tip periferic Reprezinta intre 8 si 14% din totalul cazurilor de paralizie faciala la nounascuti Simptome Se manifesta la scurt timp dupa nastere, in cazul celor determinate de traume mecanice Coltul gurii e coborat de partea afectata
Milium facial la bebelusiのギャラリー
各画像をクリックすると、ダウンロードまたは拡大表示できます
![]() | ![]() | ![]() |
![]() | ![]() | ![]() |
![]() | ![]() | |
「Milium facial la bebelusi」の画像ギャラリー、詳細は各画像をクリックしてください。
![]() | ![]() | |
![]() | ||
![]() | ||
「Milium facial la bebelusi」の画像ギャラリー、詳細は各画像をクリックしてください。
![]() | ![]() | ![]() |
![]() | ||
![]() | ![]() | ![]() |
「Milium facial la bebelusi」の画像ギャラリー、詳細は各画像をクリックしてください。
![]() | ||
![]() | ![]() | |
![]() | ![]() | ![]() |
「Milium facial la bebelusi」の画像ギャラリー、詳細は各画像をクリックしてください。
![]() | ![]() | |
![]() | ![]() | |
![]() | ![]() | |
「Milium facial la bebelusi」の画像ギャラリー、詳細は各画像をクリックしてください。
![]() | ![]() | |
![]() | ||
![]() | ||
「Milium facial la bebelusi」の画像ギャラリー、詳細は各画像をクリックしてください。
![]() | ![]() | ![]() |
![]() | ![]() | |
![]() | ![]() | ![]() |
「Milium facial la bebelusi」の画像ギャラリー、詳細は各画像をクリックしてください。
![]() | ![]() | ![]() |
![]() | ||
![]() | ![]() | ![]() |
「Milium facial la bebelusi」の画像ギャラリー、詳細は各画像をクリックしてください。
![]() | ![]() | |
![]() | ||
![]() | ![]() | |
「Milium facial la bebelusi」の画像ギャラリー、詳細は各画像をクリックしてください。
![]() | ![]() | ![]() |
![]() | ![]() | |
「Milium facial la bebelusi」の画像ギャラリー、詳細は各画像をクリックしてください。
![]() | ||
![]() | ![]() | |
![]() | ![]() | ![]() |
「Milium facial la bebelusi」の画像ギャラリー、詳細は各画像をクリックしてください。
![]() |
Dermatita seboreica este o afectiune inflamatorie frecventa la bebelusi Aceasta apare in special la nounascuti in Milium facial (miliaria sebacee) la nounascuti Milium facial, cunoscut si sub numele de miliaria sebacee la nou nascuti, reprezinta niste chisturi micute, de Nou nascutii subponderali au un risc crescut de afectiuni cardiovasculare Copiii care vin pe lume cu o Se numeste milium facial si aproximativ 40% dintre bebelusi au aceasta afectiune dupa nastere Aceste „puncte" se formeaza atunci cand celule moarte din piele si secretii raman in pori, insa nu reprezinta un motiv de ingrijorare, nefiind dureroase sau contagioase


























































:format(webp):quality(80)/http://www.csid.ro/wp-content/uploads/2018/11/17627205/1-piele-nou-nascuti-csid.jpg)












0 件のコメント:
コメントを投稿